Nu există suficiente dovezi privind suplimentarea cu vitamina D pentru a preveni sau trata COVID-19 18 feb 2021
Johnson & Johnson a depus solicitarea pentru autorizarea vaccinului împotriva COVID-19 în UE 17 feb 2021
PRIMER trage un semnal de alarmă: ,,Nu se pot fabrica vaccinuri şi medicamente de ultimă generaţie în ţară” 17 feb 2021
Trei motive pentru care testarea de rutină cu scopul de a decide momentul vaccinării împotriva COVID-19 nu este recomandată 17 feb 2021
Dr. Valeriu Gheorghiţă: Vaccinul AstraZeneca ar putea fi administrat şi persoanelor peste 65 de ani, când datele vor permite acest lucru 16 feb 2021
Bruxism în pandemie: Numărul persoanelor care scrâşnesc din dinţi a crescut cu 60%. Ce recomandă stomatologii americani 16 feb 2021
Celulele T „ucigaşe” ar putea spori imunitatea COVID-19 în faţa noilor tulpini de coronavirus 15 feb 2021
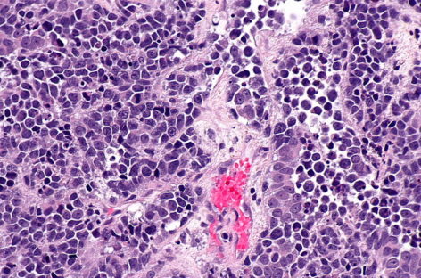
Hemoleucograma esenţială în depistarea cancerelor de sânge. Ar trebui să devină o rutină anuală 15 feb 2021
Studiu: Cel puţin 50% din infecţiile cu SARS-CoV-2 provin de la persoane care nu prezintă simptome 12 feb 2021
[VIDEO] Dr. Cristina Mîndrescu: "PRP-ul nu vindecă parodontoza ca prin magie, dar încetineşte evoluţia bolii" 12 feb 2021
Disfuncţiile sexuale la femeile de vârsta mijlocie: rezultate dintr-un studiu de amploare efectuat la nivelul populaţieiastăzi, 11:35
Ţesuturi cerebrale create în laborator, care reproduc toate tipurile majore de celule, ar putea accelera cercetarea în terapiile neurologice astăzi, 09:55
Cum se formează coloniile bacteriene care provoacă infecţii nosocomiale şi de ce rezistă tratamentelor cu antibioticeieri, 11:34
Screeningul pentru cancerul de prostată: cum pot fi maximizate beneficiile testării PSA fără riscul de supradiagnosticareieri, 10:02