Vasele mici de sânge din inimă, ţintă pentru tratarea insuficienţei cardiace la diabetici 28 feb 2022
Nou test personalizat pentru o predicţie timpurie mai precisă a riscului de recidivă a cancerului la copiii cu leucemie acută limfoblastică 28 feb 2022
Studiu: Anumite modificări la nivelul florei vaginale, asociate cu un risc crescut de avort spontan 26 feb 2022
Studiu: Anumite bacterii din intestin, asociate cu suprimarea imunităţii în cancerul pancreatic 23 feb 2022
O peptidă care ar putea stopa deteriorarea celulelor nervoase, identificată de cercetători 22 feb 2022
O combinaţie de 3 medicamente a prelungit supravieţuirea la bărbaţii cu cancer de prostată metastatic într-un studiu clinic internaţional 21 feb 2022
Ţintă genetică pentru dezvoltarea de tratamente pentru mai multe forme de orbire, identificată de oamenii de ştiinţă 21 feb 2022
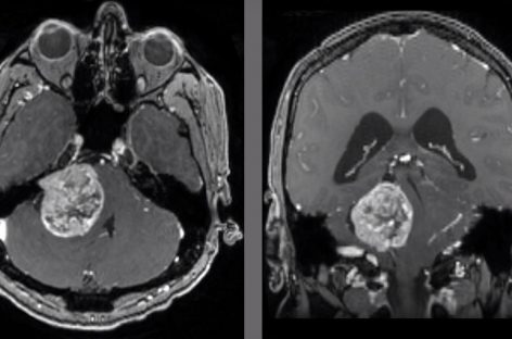
Studiu: Celulele imune lasă amprente în tumorile care metastazează în creier, oferind indicii pentru noi terapii 21 feb 2022
Studiu: Nivelul scăzut de testosteron la femei, asociat cu un risc dublu de evenimente cardiace 20 feb 2022
Un studiu la nivel global arată că există o nevoie de schimbare în tratarea cancerului la adolescenţi şi adulţii tineri 19 feb 2022
Studiu: O nouă combinaţie de medicamente pentru cancerul de sân agresiv ar putea salva anual mii de vieţi 18 feb 2022
Oamenii de ştiinţă canadieni sunt pe cale să creeze organe „universale“ de transplant, compatibile cu orice grupă de sânge 17 feb 2022
O genă care poate repara defectele cardiace congenitale, descoperită de oamenii de ştiinţă 17 feb 2022
Cinci progrese medicale remarcabile în 2025, de la terapii genice la transplantul între specii astăzi, 10:29
Un virus respirator rar, dar cu mortalitate ridicată, identificat în Europa după o absenţă de peste zece aniieri, 16:50
Primul deces confirmat cu virus gripal din acest sezon. INSP: „Putem vorbi de o situaţie de alertă epidemiologică''ieri, 14:43