Oamenii de ştiinţă au reuşit să inverseze rezistenţa la medicamente în cazul cancerului de prostată 20 oct 2023
VIDEO În premieră absolută, oamenii de ştiinţă reuşesc să transfere boala Alzheimer la animale tinere sănătoase 19 oct 2023
Persoanele diagnosticate cu ADHD la vârsta adultă ar putea fi expuse unui risc mai mare de demenţă 19 oct 2023
Un medicament pentru copiii cu diabet de tip 1, rezultate promiţătoare în faza avansată a testelor clinice 19 oct 2023
Nou mecanism care transformă celulele normale în celule canceroase, descoperit de cercetători 19 oct 2023
EMA avertizează pacienţii şi profesioniştii din domeniul sănătăţii din UE cu privire la raportarea unor stilouri Ozempic falsificate 18 oct 2023
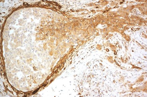
Descoperire importantă în cercetarea cancerului de sân: Un nou marker pentru tumorile agresive 18 oct 2023
O ciupercă poate pătrunde în creier producând modificări asemănătoare bolii Alzheimer, au descoperit cercetătorii 18 oct 2023
Cercetătorii au identificat un biomarker care poate prezice dacă neuronii se vor regenera sau nu 18 oct 2023
Sângele persoanelor foarte longevive prezintă diferenţe esenţiale, au descoperit cercetătorii 17 oct 2023
O nouă cercetare arată cum inflamaţia creierului la copii poate cauza tulburări neurologice precum autismul sau schizofrenia 17 oct 2023
Nimeni nu moare de „bătrâneţe”? Ce arată autopsiile despre cauzele de deces la persoanele vârstniceieri, 11:38
Eliminarea celulelor „îmbătrânite” din vasele de sânge ar putea deveni o nouă cale de tratament pentru diabet sâmbătă, 11:37