Nou test de sânge pentru identificarea infecţiilor ar putea reduce utilizarea excesivă a antibioticelor la nivel global 26 dec 2022
„O nouă clasă de medicamente la orizont” pentru cancerul pancreatic, sugerează un studiu publicat recent 25 dec 2022
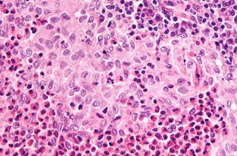
O tehnică inovatoare de urmărire a celulelor canceroase rezistente ar putea duce la noi tratamente pentru cancerul de sân recidivat 24 dec 2022
Noi descoperiri ar putea ajuta la prevenirea efectelor secundare ale chimioterapiei în cazul pacienţilor cu cancer de sân 23 dec 2022
O cale neuronală care promovează regenerarea după leziuni traumatice, identificată într-un studiu recent 22 dec 2022
O moleculă a sistemului imunitar pare să fi evoluat pentru a provoca inflamaţie în organism 21 dec 2022
OMS: Unul din patru ucraineni este expus riscului de tulburări mintale din cauza războiului 21 dec 2022
Prof. univ. dr. Alexandru Rafila: Există suficiente cantităţi de vaccin anti-Covid cu noua formulă 21 dec 2022
Nouă strategie concepută pentru a detecta complicaţiile cardiace mortale asociate cu tratamentul cancerului 21 dec 2022
Farmaciile din Statele Unite limitează achiziţionarea unor medicamente împotriva durerii pentru copii, pe fondul cererilor crescute 20 dec 2022
Autoritatea de reglementare din SUA ridică restricţiile impuse studiilor cu o genoterapie pentru siclemie 20 dec 2022
Un medicament pentru boala ficatului gras non-alcoolic îşi atinge obiectivele într-un studiu clinic avansat şi ar putea deveni primul tratament pentru NASH 20 dec 2022
STUDIU: O clasă de medicamente pentru diabet ar putea reduce riscul de demenţă la adulţii în vârstă 19 dec 2022
O genă implicată în reglarea atenţiei ar putea orienta viitoare strategii terapeutice pentru ADHDastăzi, 16:36
Guvernul vrea să amâne cu un an majorarea tarifelor în ambulatoriu. Reacţie dură din partea medicilorastăzi, 14:40
Resursă internaţională pentru selecţia liniilor de celule stem pluripotente umane destinate utilizării cliniceastăzi, 14:04