Un test de sânge nou poate estima şansele de supravieţuire în cazul pacienţilor cu cancer metastatic 5 dec 2022
Pfizer şi Roivant încheie un acord pentru dezvoltarea unui medicament împotriva bolilor inflamatorii 5 dec 2022
Medicament experimental pentru obezitate furnizează rezultate promiţătoare într-un studiu timpuriu 5 dec 2022
OMS avertizează că scăderea vigilenţei faţă de Covid-19 favorizează apariţia noilor variante: în prezent există peste 500 de subvariante omicron 5 dec 2022
UPDATE Un cercetător care a lucrat în laboratorul din Wuhan susţine că SARS-CoV-2 a fost creat de om 4 dec 2022
STUDIU: Vitamina K1 poate ajuta la reducerea riscului de fractură osoasă la populaţia în vârstă 4 dec 2022
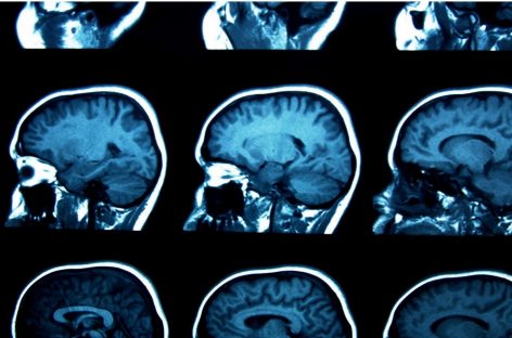
Roche opreşte studiile clinice cu un medicament pentru Alzheimer, ca urmare a rezultatelor negative 3 dec 2022
Un vaccin experimental împotriva HIV furnizează rezultate promiţătoare în studiile timpurii pe oameni. Dacă va funcţiona, ar fi primul vaccin de succes după aproape 40 de ani de cercetare 2 dec 2022
O firma japoneză de biotehnologie a dezvoltat primul test de screening precoce din lume pentru cancerul pancreatic folosind viermi minusculi 2 dec 2022
Grecia: Medicii din spitale protestează împotriva privatizării sistemului public de sănătate 2 dec 2022
China se pregăteşte să relaxeze restricţiile împotriva Covid după o săptămână de proteste istorice 2 dec 2022
Italia: Aproape jumătate dintre adulţi şi un sfert dintre copii sunt supraponderali sau obezi, inidcă un raport publicat recent 1 dec 2022
Experţii salută rezultatele obţinute de un medicament împotriva maladiei Alzheimer, dar indică şi efectele adverse 1 dec 2022
O genă implicată în reglarea atenţiei ar putea orienta viitoare strategii terapeutice pentru ADHDieri, 16:36
UPDATE: Guvernul majorează tarifele decontate în ambulatoriu dde la 1 ianuarie. "Este rezultatul unor negocieri intense"ieri, 14:40
Resursă internaţională pentru selecţia liniilor de celule stem pluripotente umane destinate utilizării cliniceieri, 14:04