Cazurile de pneumonie infantilă cresc în Europa după focarele din China. Ţările care raportează creşteri 3 dec 2023
Cercetătorii descoperă o potenţială legătură în creier între stres şi alimentaţia emoţională 3 dec 2023
Un dispozitiv purtabil este capabil să monitorizeze corpul uman cu o precizie care ar putea salva nenumărate vieţi, spun oamenii de ştiinţă 3 dec 2023
VIDEO Oamenii de ştiinţă au construit roboţi biologici minusculi din celule umane. Aceştia se pot deplasa şi ajută la vindecarea altor celule cu leziuni 2 dec 2023
O mutaţie genetică rară ar putea deţine cheia terapiilor pentru slăbit, sugerează un studiu 2 dec 2023
Trecerea la o dietă mai sănătoasă ar putea adăuga zece ani la speranţa de viaţă, sugerează un studiu 1 dec 2023
Simptome multiple ale endometriozei pot apărea cu un deceniu înainte de diagnostic, constată un studiu 1 dec 2023
Oamenii de ştiinţă pun la punct o nouă tehnică pentru a descoperi cauzele şi potenţiale tratamente în bolile autoimune 1 dec 2023
Cercetătorii au creat un plasture care ar putea trata cu succes defectele cardiace congenitale la sugari 30 nov 2023
Nouă spitale din Bucureşti asigură asistenţa medicală de urgenţă de Sf. Andrei şi 1 Decembrie 30 nov 2023
Un mecanism ascuns prin care sistemul imunitar luptă împotriva cancerului, descoperit de cercetătorii americani de la UCLA 29 nov 2023
Acţiunile Philips, în cădere după ce SUA a alertat pacienţii cu privire la o nouă problemă de siguranţă legată de aparate medicale ale grupului 29 nov 2023
SUA evaluează siguranţa unor terapii CAR-T împotriva cancerului privind un posibil risc de spitalizare şi deces 29 nov 2023
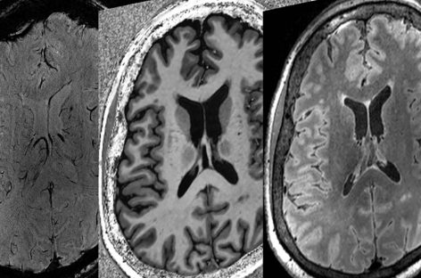
Inteligenţa artificială poate identifica boala Alzheimer cu o precizie ridicată, sugerează noi dateastăzi, 16:40
O descoperire recentă ar putea face cancerul pancreatic rezistent să răspundă din nou la tratamentastăzi, 15:02
Bebeluşii sunt expuşi la peste 40 de „substanţe chimice eterne” încă dinainte de naştere, avertizează un studiuastăzi, 14:03