Celulele stem canceroase provoacă îmbătrânirea macrofagelor creând condiţii pentru formarea tumorilor, sugerează un studiu 24 nov 2023
Novo Nordisk investeşte masiv în Franţa pentru a-şi extinde capacitatea de producţie a medicamentelor pentru obezitate 24 nov 2023
Cercetătorii au descoperit implicarea unei proteine, puţin cunoscute până acum, într-o malformaţie congenitală a inimii 24 nov 2023
UPDATE VIDEO OMS: China nu raportează niciun „agent patogen nou sau neobişnuit" legat de bolile respiratorii. Între timp, spitalele din Beijing sunt „depăşite" de valul de boli respiratorii în rândul copiilor (CNN) 24 nov 2023
Încă un protest în sistemul sanitar public: Grevă spontană a personalului TESA la Spitalul Bagdasar-Arseni pentru revendicări de natură salarială 23 nov 2023
Dispozitiv implantabil pentru administrarea de medicamente in vivo, dezvoltat de cercetători chinezi 23 nov 2023
Medicamentele antireumatice ar putea preveni bolile tiroidiene, sugerează un studiu al cercetătorilor de la Karolinska 23 nov 2023
OMS cere Chinei mai multe informaţii despre focarele de boli respiratorii din această ţară 23 nov 2023
Persoanele care iau medicamente pentru ADHD ar trebui să-şi monitorizeze îndeaproape sănătatea inimii, sugerează un studiu 23 nov 2023
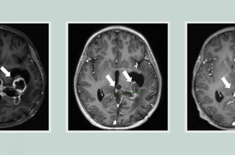
Modul de administrare a medicamentelor afectează răspunsul creierului, a descoperit un studiu 22 nov 2023
Septicemia şi bacteriile rezistente la antibiotice, în vizorul cercetătorilor din Europa. Proiectul, coordonat de un medic de origine română 22 nov 2023
O abordare revoluţionară de imunoterapie ar putea prelungi durata de viaţă sănătoasă a oamenilor 22 nov 2023
Inteligenţa artificială poate identifica boala Alzheimer cu o precizie ridicată, sugerează noi dateieri, 16:40
O descoperire recentă ar putea face cancerul pancreatic rezistent să răspundă din nou la tratamentieri, 15:02
Bebeluşii sunt expuşi la peste 40 de „substanţe chimice eterne” încă dinainte de naştere, avertizează un studiuieri, 14:03