Caz unic în literatura medicală: Un pacient care a supravieţuit mai multor tumori ar putea deţine cheia vindecării cancerului 3 nov 2022
A fost promulgată legea prin care se aprobă Planul naţional de prevenire şi combatere a cancerului 2 nov 2022
Fosta Europharm din Braşov ar urma să fie sediul unui hub de cercetare în domeniul sănătăţii 2 nov 2022
Un nou vaccin antigripal foloseşte ARNm pentru a viza patru proteine virale care suferă puţine schimbări între tulpini 2 nov 2022
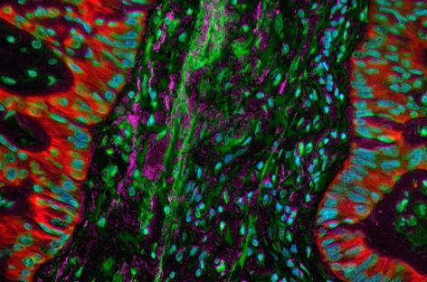
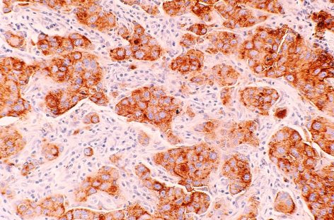
Cancerul pancreatic ar putea fi diagnosticat cu până la trei ani mai devreme, indică un nou studiu 2 nov 2022
Un vaccin experimental împotriva RSV administrat femeilor însărcinate, eficient în prevenirea infecţiilor severe la sugari 1 nov 2022
O proteină din celulele stem facilitează recidiva tumorilor cerebrale pediatrice, au descoperit cercetătorii 1 nov 2022
Modificări neaşteptate în activitatea electrică a inimii, după transplantul de la porc la om 1 nov 2022
Un tratament experimental pentru cancerul de sân triplu negativ furnizează rezultate promiţătoare în studiile preclinice 1 nov 2022
Proiecte în valoare de peste 490 de milioane de lei, destinate spitalelor din Capitală, aprobate de CGMB 31 oct 2022
Rezistenţa antimicrobiană avansează mai rapid decât dezvoltarea de noi tratamente, avertizează experţii. Numărul proiectelor pentru noi antibiotice a scăzut cu 35% în cinci aniieri, 16:22
Primul spital din România dedicat exclusiv tratamentului integrat al patologiilor tumorale, inaugurat în nordul Bucureştiuluiieri, 14:24